
Nous sommes nombreux à savoir que fumer nuit à la santé des individus, mais combien connaissent les problèmes qu’il engendre en santé bucco-dentaire ? De ce point de vue, les cigarettes ne sont pas les seuls produits à blâmer. En fait, toutes les formes de tabac, y compris les cigares, le tabac sans fumée constituent une menace majeure pour la santé de notre bouche.
Effets du tabac sur la santé bucco-dentaire :

- Fumer augmente considérablement le risque de cancer de la bouche, une maladie qui progresse rapidement et peut être mortelle si elle n’est pas diagnostiquée et traitée tôt. Le cancer de la bouche est aujourd’hui, malheureusement, un tueur important en raison du fait que le diagnostic est souvent très tardif.
- Il augmente le risque de maladie des gencives (Ex : parodontite), qui est une cause majeure de perte de dents chez les adultes. On pense que la charge de nicotine et de dérivés dans la bouche provoque un déséquilibre des bactéries buccales qui fait progresser la maladie parodontale au fil du temps.
- Ralentit la cicatrisation en général dans la bouche. Par exemple, il retarde définitivement la cicatrisation après une chirurgie buccale (comme une extraction dentaire).
- Peut endommager les tissus gingivaux et provoquer des récessions gingivales, entraîner les racines des dents exposées. Cela pourrait augmenter le risque de carie dentaire et provoquer une sensibilité au chaud/froid en raison de l’exposition des terminaisons nerveuses sensibles qui sont couvertes par la ligne gingivale.
- Provoquer une mauvaise haleine due à un certain nombre de facteurs liés au tabagisme lui-même, mais aussi à un déséquilibre bactérien dans la bouche.
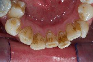
- Il cause des taches sur les dents qui ne peuvent pas être éliminées avec un brossage normal. En fait, le tabagisme est l’une des causes les plus courantes de décoloration des dents.
- Cela peut provoquer une accumulation de tartre, ce qui peut nécessiter des interventions dentaires professionnelles à des intervalles plus courts pour éviter d’augmenter davantage le risque de gingivite ou de maladie des gencives.
Les cigares sont-ils moins mauvais pour la santé bucco-dentaire ?
Les cigarettes et les cigares contiennent diverses toxines nocives pour la santé de notre bouche. La seule différence entre une cigarette et un cigare est que la fumée n’est pas inhalée pour ce dernier ; ne pas inhaler ne diminue cependant pas le risque d’avoir des problèmes dentaires, et il est bon de clarifier cet aspect.
Alternatives sans fumée
De nombreuses personnes choisissent d’arrêter de fumer et ont recours pour cela à des chewing-gums à la nicotine. Mâcher de la nicotine au lieu de la fumer ne peut cependant pas représenter une solution définitive/à long terme : dans plusieurs chewing-gums qui servent à arrêter de fumer, en effet, il est possible de tracer des quantités de nicotine (dont nous rappelons qu’il s’agit d’un composé toxique) supérieures à celles contenues dans une cigarette. De plus, il a été démontré que divers produits du tabac sans fumée contiennent des toxines nocives pour notre corps.
En conclusion

Cesser de fumer peut procurer des avantages qui ont des répercussions considérables à long terme, à la fois sur la santé générale et plus particulièrement sur la santé bucco-dentaire. Il est important dans tous les cas (surtout pour les fumeurs) d’effectuer périodiquement des contrôles chez un dentiste de confiance et d’effectuer régulièrement des séances d’hygiène professionnelles.


