
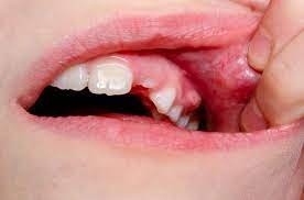
Une fistule est une communication qui se produit entre la dent et l’extérieur suite à la formation d’un abcès.
Il permet le drainage du pus, c’est-à-dire l’accumulation de bactéries, de débris cellulaires et de globules blancs, qui constituent la collection de type abcès.
Si l’origine du processus infectieux qui provoque la fistule est la dent (abcès dentaire), on parle alors de fistule dentaire. Si par contre les tissus concernés sont ceux qui soutiennent la dent, notamment la gencive (abcès gingival), on parle alors de fistule gingivale.
Quelles sont les causes qui conduisent à la formation d’une fistule ?

Fondamentalement, le développement d’une fistule a à voir avec des causes infectieuses.
Dans le cas d’une fistule dentaire, ce sont les bactéries cariogènes qui provoquent la formation de la fistule. Ces bactéries, si elles ne sont pas correctement éliminées avec une bonne hygiène bucco -dentaire à la maison et quotidiennement, peuvent causer la carie dentaire. Si ce dernier n’est pas traité, l’infection bactérienne se propage de plus en plus profondément dans les tissus dentaires, provoquant d’abord un abcès puis une fistule.
La fistule gingivale, quant à elle, est liée à la parodontite, qui est une pathologie qui affecte les tissus parodontaux qui sont les tissus qui soutiennent la dent.
Dans ce cas également, la fistule part d’un abcès, appelé abcès parodontal.
Outre ces deux situations, qui représentent de toute façon les causes les plus fréquentes d’origine d’une fistule, le trajet fistuleux peut aussi être provoqué par des traitements endodontiques incongrus, des obturations très profondes et techniquement incorrectes, des manœuvres chirurgicales peu délicates lors d’extractions dentaires.
Il faut dire cependant que ces causes sont assez rares, surtout si on s’en remet à des mains expertes.
Quels sont les symptômes d’une fistule ?
La fistule est généralement liée à une douleur et une inflammation localisée à la dent ou à la partie de la gencive affectée par le processus infectieux.
En fait, ces symptômes sont caractéristiques de la phase inflammatoire qui précède la fistule. La douleur, en effet, a tendance à diminuer considérablement suite à l’apparition de la fistule. Cela est dû à la diminution de la pression exercée sur les tissus dentaires : le pus, grâce au trajet fistuleux qui se crée, est automatiquement évacué vers l’extérieur.
En raison de la décharge de matière purulente à travers la fistule, vous pouvez avoir un goût désagréable dans la bouche. L’halitose est également pratiquement toujours présente et est également liée à l’évacuation spontanée de pus.
Comment intervenir en présence d’une fistule ?
Tout d’abord, il est indispensable d’aller chez votre dentiste de confiance. Le dentiste effectuera donc une visite précise en effectuant également des tests qui lui permettront d’évaluer quel est l’élément dentaire ou la zone impliquée dans le processus inflammatoire.
Dans ces cas, il est également indiqué d’effectuer des radiographies, afin de poser un diagnostic correct. Il est en effet possible de réaliser une fistulographie, qui permet d’évaluer le trajet fistuleux dans son intégralité.
Vous devez savoir que, pour résoudre une fistule, il est d’une importance fondamentale d’éliminer la cause qui l’a provoquée.
Antibiotiques
Le processus fistuleux étant, comme nous l’avons vu, généralement soutenu par un tableau infectieux, le dentiste peut donc prescrire une antibiothérapie, même si celle-ci n’est pas toujours nécessaire.
L’antibiotique, en effet, ne doit être prescrit que dans des cas particuliers, tels que les patients diabétiques, les patients cardiaques ou ceux dont l’état de santé est déjà partiellement compromis. Chez les sujets sains sans problème systémique, l’antibiothérapie ne peut donc pas être administrée.
Dévitalisation
Le traitement défini comme le “gold standard” – c’est-à-dire le meilleur et le plus efficace – est la dévitalisation, qui consiste en l’ablation du tissu pulpaire (communément appelé “nerf de la dent”). Ce faisant, l’infection sera endiguée et contrôlée.
Extraction dentaire
Un autre traitement très fréquent est l’extraction de la dent impliquée dans le processus infectieux. Ce choix s’avère être le meilleur notamment en ce qui concerne les dents de sagesse. Ces éléments, en effet, ne jouant plus un rôle important dans le domaine masticatoire, peuvent être extraits sans causer de dommages ou de problèmes à la santé de votre bouche.
Thérapie parodontale
Si, en revanche, le dentiste se trouve confronté à une fistule gingivale, un traitement parodontal doit être envisagé. Par conséquent, le traitement, qui selon la situation de départ peut être plus ou moins complexe, pourrait impliquer les tissus de soutien de la dent.
Prévenir les fistules dentaires et gingivales

D’une importance fondamentale, pour prévenir l’apparition ou la récurrence de fistules et d’autres problèmes qui pourraient affliger votre cavité buccale, une hygiène buccale soigneuse. Par conséquent, n’oubliez jamais de toujours utiliser une brosse à dents, un dentifrice et un bain de bouche et effectuez des contrôles périodiques et des séances d’hygiène bucco-dentaire professionnelles par votre dentiste de confiance au moins 1 ou 2 fois par an !


