Obtenez votre Devis Gratuit

dents transparents
  • 719

Avez-vous remarqué que vos dents sont jaunies, sont plus transparentes que la normale ou n’ont plus une forme régulière ? Cela pourrait être la déminéralisation des dents. Ne vous inquiétez pas, votre dentiste pourra vous donner la bonne thérapie pour remédier au problème. Dans cet article, nous approfondissons le sujet en expliquant quelles sont les causes et ce qu’il faut faire pour éviter les dents transparentes.

Qu’est-ce que la déminéralisation dentaire ?

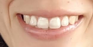
transparence dentaire

La déminéralisation dentaire n’est certainement pas un problème à sous-estimer si vous voulez garder votre bouche en bonne santé et avoir, en même temps, un sourire parfait d’un point de vue esthétique.

La dent est recouverte par l’émail, formé principalement de minéraux composés de calcium, qui protège la dentine sous-jacente : l’émail, en fait, n’a pas de vraie couleur, il est translucide et la dentine est la partie qui donne la couleur blanche à la dentine.

Bien que la composition de l’émail le rende vraiment dur et résistant, la surface de la dent est constamment soumise à l’abrasion et à l’érosion. Les aliments particulièrement sucrés, la salive acide et l’utilisation excessive de dentifrices blanchissants pourraient compromettre l’intégrité de l’émail.

Voici donc les symptômes à surveiller afin d’éviter les troubles et les conséquences de la déminéralisation, et d’éviter le risque de rendre les dents transparentes.

Symptômes des dents transparentes

Le premier symptôme de dents claires est évident ; en fait, il suffit de faire une analyse visuelle de la santé de sa bouche : si les dents, en particulier les incisives, ont jauni et, de plus, ont une forme irrégulière et des bords irréguliers, la déminéralisation peut déjà avoir commencé.

Si, alors, les dents présentent des fissures, des micro-fractures et même des fissures, il sera alors nécessaire de contacter votre dentiste pour un diagnostic plus précis de l’esthétique et de l’état de santé de la cavité buccale.

De plus, lorsque l’émail dentaire est sujet à une érosion dentaire, les dents peuvent apparaître plus transparentes que la normale.

Une autre sonnette d’alarme qui permet de reconnaître le problème des dents transparentes est la forte sensibilité aux agents extérieurs, chauds et froids : l’inconfort le plus courant dans le cas des dents fragiles et de l’émail usé, en fait, survient lors de l’ingestion d’aliments froids et les liquides chauds sont ivres, et viennent avec des élancements et des douleurs dans la bouche.

Ces douleurs gênantes sont souvent provoquées à leur tour par l’émergence de la dentine : lorsque l’érosion dentaire endommage et amincit l’émail, la dentine est plus exposée et provoque une sensibilité à la chaleur et au froid.

Causes des dents transparentes

causes dents transparents
  • Déminéralisation dentaire
  • Agents externes
  • Nourriture et boisson
  • Bruxisme
  • Maladie cœliaque

Comme déjà mentionné, la première cause du problème des dents transparentes est la déminéralisation : elle provoque en effet un affaiblissement de la composition minérale de la dent, la rendant fragile, sujette à des fissures, une érosion de l’émail et de fréquentes caries.

Même les agents externes peuvent jouer un rôle important sur l’érosion de l’émail : si vous utilisez souvent des pâtes abrasives dentifrices, par exemple celles utilisées pour blanchir les dents, ou des brosses à dents à poils très durs, vous augmentez vos chances de rencontrer des problèmes de l’érosion de l’émail.

Les aliments particulièrement acides et sucrés affectent la charge bactérienne à l’intérieur de la bouche : les aliments riches en sucre, en effet, aident à nourrir les bactéries de la plaque dentaire et la carie dentaire, en plus d’intervenir en faveur de l’érosion de l’émail dans le cas de la salive acide.

Le bruxisme : c’est-à-dire lorsque les muscles de la mâchoire se contractent et grincent des dents sous l’effet de l’excitation des muscles de la mâchoire, phénomène qui peut survenir de jour comme de nuit conduit à long terme à compromettre l’intégrité et à amincir la surface des dents. Ainsi, le sourire peut sembler terne et ruiné, et la malocclusion des arcades dentaires se produit souvent.

Enfin, la maladie cœliaque peut conduire ceux qui en souffrent à ne pas développer complètement l’émail dentaire : ici la cavité buccale d’une personne coeliaque peut ne pas apparaître à son meilleur avec des dents transparentes, plus fragiles et avec une décoloration, autrement dit, les dents peuvent ne pas apparaître entièrement blanches.

Remèdes pour les dents transparentes

remèdes dents transparents

Les spécialistes dentaires trouveront la bonne solution à votre problème de dents transparentes s’appuient sur des médecins, qui ont accès aux dernières technologies et efficaces, c’est la seule option viable pour éviter que la situation ne s’aggrave.

Après la visite chez le dentiste, en effet, le médecin pourra évaluer l’état de santé de la cavité buccale et décider quelle thérapie administrer et s’il faut intervenir avec la technologie à sa disposition.

À ce jour, en effet, il n’a pas été possible de régénérer l’émail dentaire, mais les recherches ont mis en lumière et mis en évidence de nouvelles techniques qui, avec l’utilisation de matières synthétiques, permettent de réparer l’émail, la dentine et les tissus osseux.

Dans le cas où la dent est soumise à un état d’érosion avancé, le spécialiste peut décider de procéder à l’intervention de couronnes ou capsules dentaires : le dentiste, en effet, peut appliquer une prothèse en céramique pour remplacer le rôle joué de l’émail, maintenant plus résistant ou compromis.

En plus de la capsule, le médecin peut intervenir sur la dent fragilisée en appliquant des masques en céramique, également appelés facettes dentaires : ceux-ci, une fois fixés en permanence sur la surface de la dent, couvriront l’émail dentaire protégeant le reste de la structure sous-jacente.

Le dentiste peut intervenir sur la surface de la dent en appliquant une couche de résine, un matériau faisant office de revêtement ; c’est la procédure cosmétique, appelée collage dentaire, qui permet de donner aux dents transparentes un aspect naturel.

Si vous souffrez de bruxisme, l’orthodontiste peut suggérer au patient d’utiliser une morsure, ou une protection créée ad hoc pour votre bouche, une sorte d’appareil amovible qui se porte pour couvrir les dents et sauver l’émail de dents du grincement de jour et de nuit.

Prévention de transparence des dents

prévention transparence dents

La prévention des dents transparentes trouve un allié important dans le soin de la bouche, les habitudes et bonnes pratiques de nettoyage : se brosser les dents régulièrement et utiliser du fil dentaire et un nettoyant pour la langue pour éliminer les accumulations bactériennes sur la langue sont les bienvenus.

Notre conseil est d’utiliser une brosse à dents pour les dents sensibles au lieu d’une à poils durs (trop agressive même sur les gencives), d’éviter de se brosser les dents immédiatement après les repas, et de préférer un dentifrice non abrasif, mais qui a dans la composition également du fluor, qui aide à durcir l’émail.

Éviter le blanchiment des dents fréquent signifie ne pas intervenir avec des agents particulièrement agressifs sur l’émail dentaire. Il est recommandé de blanchir les dents 3-4 fois par an, environ une fois tous les 3-4 mois, pas plus.

La prévention passe également par un régime, une alimentation et une boisson : par conséquent, la consommation excessive de bonbons, biscuits, gâteaux, boissons sucrées, spiritueux et jus de fruits additionnés de sucre est interdite.

Évitez les boissons très chaudes comme le thé ou les boissons acides comme le café, et les aliments composés de glucides comme la farine blanche, à remplacer par des aliments moins transformés, comme les fruits et légumes, riches en fibres.