
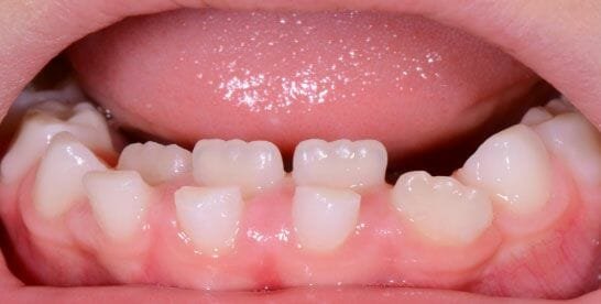
Les dents tordues chez les enfants sont l’un des problèmes dentaires les plus courants. La dentition asymétrique, en fait, n’est pas un simple problème esthétique, mais entraîne une série de troubles de toutes sortes qui affectent la santé générale des plus petits. Avoir des dents qui ne sont pas alignées correctement, peut-être s’entasser les unes sur les autres, entraîne une série de problèmes à court, moyen et long terme.
Il n’est pas rare que les dents tordues soient associées à d’autres problèmes, tels que la malocclusion dentaire qui, à son tour, détermine un mauvais alignement des dents et, par conséquent, une occlusion anormale. Cela affecte la fonction de mastication de l’enfant et également l’ensemble du corps, entraînant des problèmes de dos et d’éventuels maux de tête fréquents. Lorsque les enfants se plaignent de douleurs récurrentes à la tête, les dents doivent également être considérées parmi les causes à rechercher.
Par conséquent, celle des dents dites tordues n’est pas seulement un problème esthétique, mais aussi fonctionnel, car elle peut compromettre les fonctions masticatoires, respiratoires et d’élocution normales des enfants.
La première chose à faire en cas de dents tordues est d’emmener l’enfant chez le dentiste pédiatrique ou plutôt chez l’orthodontiste, celui qui est spécialisé dans la résolution des problèmes liés aux dents tordues.
Mais ceci dit, quelles sont les causes les plus fréquentes de dents de travers chez les enfants et leurs conséquences ? Quelles sont les situations dans lesquelles il est nécessaire de demander l’intervention du dentiste ? Voyons cela ensemble.
Dents de sucette tordues

L’utilisation de la tétine est une pratique très courante chez les enfants car elle a une valeur pratique et psychologique importante. La tétine est l’élément transactionnel qui permet de sevrer le bébé de l’allaitement, le moyen de maintenir le lien avec le sein de la mère et, en même temps, de rendre le bébé indépendant. Cependant, ce lien doit tôt ou tard être rompu car souvent les dents tordues et la tétine sont directement liées.
Tout d’abord, il faut rappeler que la tétine doit toujours être plus grande que le palais de bébé et jamais plus petite : en effet, en tétant, le palais a tendance à s’adapter à la taille de la tétine, donc si celle-ci est plus petite, le palais va rétrécir pour s’adapter. À l’inverse, une tétine plus grande aidera le palais à s’élargir, évitant ainsi de créer d’autres problèmes.
Mais quel est le lien entre dents tordues et tétine ?
Les dents mal alignées sont un problème qui peut survenir dès le plus jeune âge. Souvent, lorsque cela se produit chez les jeunes enfants, la première chose que l’on pense est que les dents tordues sont causées par la sucette, car l’acte de succion amène le bébé à pousser les dents vers l’avant avec la langue, créant une saillie des incisives. Dents tordues et tétine seraient donc étroitement liées l’une à l’autre et correspondraient à l’apparition de mauvaises habitudes alors difficiles à éliminer.
Entre autres, l’utilisation d’une tétine ou l’habitude qu’ont de nombreux enfants de sucer leur pouce, conduirait avec le temps non seulement à développer anormalement le palais, mais aussi à développer une déglutition atypique. Cela se produit chez les enfants d’environ sept à huit ans, lors du passage de la déglutition du nourrisson à l’adulte.
Dans cette phase, l’enfant doit apprendre la bonne procédure de déglutition, en plaçant la langue sur la papille palatine placée derrière les incisives supérieures, abandonnant complètement la déglutition du nourrisson au lieu de la succion, héritée de la période d’allaitement. Voilà donc que dans cette phase le lien entre dents tordues et tétine est immédiatement évident : l’utilisation de la tétine conduit en effet l’enfant à pousser la langue vers l’avant, vers les dents, lors de l’acte de déglutition.
Le positionnement incorrect de la langue par rapport à la langue naturelle et la pression exercée sur les dents qui en résulte peuvent affecter négativement le développement palatin et celui des arcades dentaires, favorisant les processus de malocclusion. Par conséquent, le lien dents tordues et tétine ne doit pas du tout être sous-estimé. En revanche, l’utilisation de la tétine semblerait favoriser l’apparition de dents de travers surtout si son utilisation se prolonge après 3 ans. Dans ces cas, il serait bon de faire examiner le bébé par un spécialiste, mais aussi de retirer la tétine après cet âge sans trop céder aux crises de colère.
Pourquoi les dents poussent de travers
Mais quelles sont les raisons pour lesquelles les enfants ont des dents tordues ? Il existe diverses causes qui peuvent provoquer un mauvais alignement des dents chez les enfants : la première, comme nous l’avons vu, notamment chez les plus jeunes, est l’utilisation prolongée de la tétine. Les autres raisons possibles sont les malocclusions dentaires génétiques, la conformation particulière de la zone maxillaire et mandibulaire, la chute retardée des dents de lait, avec une croissance précoce conséquente des définitives, qui, ne trouvant pas d’espace, poussent de travers. A ceux-ci s’ajoutent les différents traumatismes accidentels que l’on peut subir dans l’enfance.
A cet égard, une des situations les plus fréquentes est la classique chute de vélo qui peut traumatiser une dent et la faire tomber plus tôt que prévu : les dents voisines auront tendance à occuper le vide laissé par la dent tombée et deviendra asymétrique. Un mauvais nettoyage des dents, entraînant la formation de caries et la perte d’une ou plusieurs dents, est également l’une des causes des dents tordues chez les enfants.
Quand le dentiste intervient ?

Il existe certaines situations dans lesquelles il est nécessaire d’aller chez le dentiste pour faire examiner un enfant aux dents tordues. Dans ces cas, il est très important que les parents amènent leurs enfants en visite dès l’âge de 5/6 ans. Très souvent, cependant, nous avons tendance à penser que pendant la phase de croissance des dents de lait, il n’est pas nécessaire d’aller chez le dentiste.
Au contraire, des problèmes dentaires de toutes sortes peuvent déjà survenir pendant l’enfance et nécessiter l’intervention du dentiste tels que :
- Dents mal alignées
- Encombrement dentaire
- Carie
- Malocclusion, avec des douleurs relatives dans la région temporo-mandibulaire que les enfants expriment avec des maux de tête récurrents
- Morsure anormale
- Chute accidentelle d’une dent suite à un traumatisme
C’est précisément dès le plus jeune âge que le dentiste doit avoir la possibilité de visiter les plus petits, de vérifier la santé de leurs dents, de leurs gencives et de leur cavité buccale. De cette façon, il peut s’assurer qu’il n’y a pas de problèmes liés à la position des dents et vérifier qu’il n’y a pas de processus cariogènes en cours. En cas de problème, il sera cependant indispensable d’agir tôt pour éviter une aggravation, par exemple en recourant à l’utilisation d’un appareil orthodontique.


