
Quand on parle d’un sourire et de l’harmonie que ce dernier doit avoir afin de mettre en valeur la forme du visage, on entend de plus en plus souvent parler de remplissage esthétique, même si tout le monde ne sait pas ce que c’est.
Nous sommes nombreux à avoir, au moins une fois dans notre vie, accepté une obturation : les causes qui conduisent à devoir recourir à ce type d’intervention dentaire sont variables, mais nombre d’entre elles sont assez récurrentes. Des caries non traitées, des traumatismes ou des problèmes de gencives peuvent entraîner la destruction de l’émail des dents et la perte de sa fonctionnalité, ainsi que de son esthétique.
Ainsi, après avoir eu recours au professionnalisme d’un dentiste, le seul à pouvoir comprendre la cause de la ou des dents abîmées et pouvoir opter pour l’obturation, vous vous retrouvez à devoir subir ce qui est la plupart du temps une intervention minime envahissante. Dans les cas où, lors de l’obturation, il est nécessaire de dévitaliser la dent car elle est extrêmement abîmée et potentiellement trop sensible ou exposée à la casse, l’opération pourrait être un peu plus invasive.
Cependant, les obturations ne sont pas toutes identiques et l’obturation esthétique n’est qu’un des types d’obturations que peut pratiquer le dentiste, certes excellent en termes de performances esthétiques.
Mais voyons plus en détail quels sont les différents types de remplissage et ce qu’est un remplissage esthétique, quelles sont les étapes qui le caractérisent et, surtout, les avantages que l’on peut obtenir.
Types d’obturations

Il existe différents types d’obturations qu’un dentiste peut effectuer. Voyons ensemble les plus fréquentes.
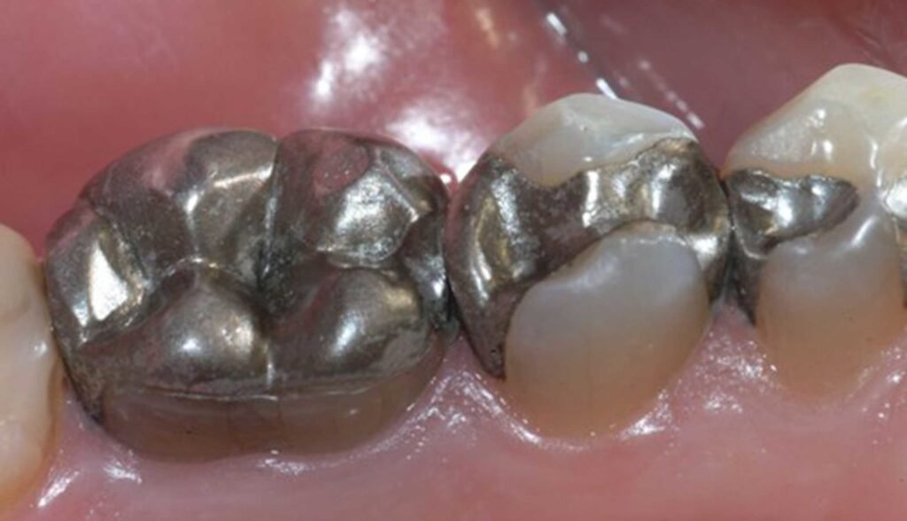
Commençons par le mercure et les plombages métalliques. Ce type d’obturation se pratique surtout sur les dents postérieures car ce sont des interventions plutôt visibles. Elle consiste en l’utilisation d’un amalgame composé de mercure et d’autres métaux comme l’argent, le cuivre ou l’étain. Le principal avantage de ce type de remplissage est sans aucun doute la durée. D’autre part, le défaut le plus évident est esthétique car le remplissage a la couleur métallique typique, il est donc visible à l’intérieur de la bouche.
Un autre type de remplissage est le composite. Ce sont celles réalisées avec des résines blanches, donc peu invasives d’un point de vue esthétique. Les obturations en composite ne sont indiquées que pour les petites et moyennes restaurations et surtout pour les dents antérieures, beaucoup moins pour les molaires. La raison en est qu’ils sont moins résistants que l’amalgame.
Les obturations en or utilisent le métal noble et, même si le coût est beaucoup plus élevé que les autres types, elles sont en mesure de garantir une durée considérable dans le temps. Aujourd’hui ils sont de moins en moins utilisés et remplacés par des solutions plus naturelles d’un point de vue esthétique.
On retrouve ensuite les plombages en porcelaine qui sont très résistants, surtout s’ils sont enrichis en métal (zirconium). Ce sont presque des mini-prothèses et donnent un excellent résultat esthétique.
Enfin, on retrouve les incrustations en composite ou en porcelaine qui servent à combler parfaitement la partie manquante de la dent qui est traitée pour la carie, ou à remplacer d’anciennes obturations en amalgame. Les deux derniers types sont pleinement inclus dans ce qui est considéré comme un remplissage esthétique.
Qu’est-ce que le remplissage esthétique et en quoi consiste-il ?
Le remplissage esthétique est un type de remplissage avec un rendu visuel très précis : si la plupart des remplissages peuvent apparaître visibles, notamment avec le temps et s’ils sont réalisés avec certains matériaux périssables ou en tout cas ayant tendance à changer de couleur, le remplissage esthétique qu’il maintient un profil absolument discret, paraissant presque invisible à l’œil nu.
Cette capacité à se fondre dans l’émail naturel de la dent le rend parfait pour tous ceux qui recherchent un résultat impeccable non seulement en termes de durée, mais aussi d’esthétique réelle.
Mais en quoi consiste réellement une obturation esthétique et quelles sont les étapes suivies par le dentiste pour y parvenir ? A la base la première partie de l’obturation est très similaire à une obturation classique, avec la partie d’enlever les caries et de nettoyer et désinfecter la dent pour éliminer toutes les bactéries présentes. Mais c’est la phase suivante, celle du comblement de la cavité laissée par la carie retirée, qui change.
En fait, dans le remplissage esthétique, la méthode de remplissage est la méthode dite « en couches ». Le dentiste ajoute une couche à la fois à la cavité, imitant complètement les nuances naturelles de l’émail dentaire jusqu’à ce qu’une couche finale presque transparente qui imite l’émail dentaire soit insérée.
L’écart chromatique entre la dent et l’obturation n’existe donc pas et de cette manière l’obturation est invisible. Bien sûr, le remplissage esthétique est également poli et lissé pour obtenir un effet final absolument parfait.
Entre autres, les applications du remplissage esthétique ne s’arrêtent pas là. Grâce à cette méthode, il est possible non seulement de créer des obturations invisibles et esthétiquement irréprochables, mais également d’éliminer les taches sur les dents, les fissures entre une dent et l’autre et d’autres imperfections qui peuvent compromettre la beauté du sourire.
Pour que l’obturation esthétique soit parfaitement insérée entre les autres dents pour apparaître invisible, il est essentiel qu’elle simule en tous points à la fois les caractéristiques chromatiques de la dent et sa morphologie. Ce n’est qu’ainsi qu’il évite de devenir un élément de dissonance susceptible de porter atteinte à la beauté du sourire.
La procédure que le dentiste utilise pour mettre en œuvre une obturation esthétique est la suivante : nous parlons d’une anesthésie locale classique qui permet au dentiste de travailler sur la dent, en éliminant les caries et en la nettoyant correctement. La cavité où sera appliqué le remplissage esthétique est donc préparée, différentes couches de matériau d’une couleur aussi proche que possible de celle des dents du patient sont insérées et, grâce au test de morsure, la conformation morphologique est évaluée, améliorant éventuellement la hauteur de l’obturation. Enfin, il est poli pour le rendre impeccable et presque transparent.
Qui peut recourir au remplissage esthétique ?

Les obturations esthétiques, grâce à leur capacité à se fondre entre les dents et à avoir un aspect absolument naturel, conviennent particulièrement à ceux qui doivent prendre soin des dents antérieures. Les molaires, en revanche, sont moins adaptées à ce type de comblement esthétique car elles sont peu résistantes et peuvent nécessiter d’autres interventions dans les années à venir. Il appartiendra au dentiste, après un historique médical approfondi du patient, de proposer la meilleure solution à adopter.


